СТОМАТОЛОГИЧЕСКИЙ ЦЕНТР
С ЛАБОРАТОРИЕЙ В КОРОЛЁВЕ
9:00 – 20:00 БЕЗ ВЫХОДНЫХ
9:00 – 20:00 БЕЗ ВЫХОДНЫХ
СТОМАТОЛОГИЧЕСКИЙ ЦЕНТР
С ЛАБОРАТОРИЕЙ В КОРОЛЁВЕ

Профессиональная чистка зубов со скидкой до 50%

Профессиональная гигиеническая чистка зубов и полости рта — процедура, необходимая для профилактики болезней зубов и дёсен. Ежедневная домашняя чистка очищает зубы не на 100%. К сожалению, на эмали и в труднодоступных местах остается зубной налёт.

Достаточно всего 1–2 раза в год проходить процедуру профгигиены полости рта, чтобы сохранить здоровье. Процедура имеет лёгкий отбеливающий эффект и проходит безболезненно. Длительность чистки 30–60 минут в зависимости от количества и степени зубного налёта.
Запишитесь на комплексную профгигиену всей полости рта!
Без повреждения эмали
Очистка от налета и мягкий отложений
Заполняя данную форму Вы соглашаетесь с политикой обработки персональных данных
Очистка от зубного камня
Комплексная ультразвуковая чистка + полировка пастой 3500 вместо 5000 р. Или 4500 вместо 6000 при высокой степени зубного камня!

6 элементов приятного лечения в «Крона Клиник»

Стоматологический кабинет «Крона Клиник»
Безболезненное лечение
Честные цены без накрутки
Собственная зуботехническая лаборатория
Решаем трудные случаи
Опытные врачи
Индивидуальный план лечения с подробным ознакомлением пациента об этапах лечения
избавляет от зубного налёта, камней;
профилактика болезней дёсен;
помогает выявить кариес на ранней стадии;
убирает скопления бактерий в полости рта, что помогает медленней развиваться кариесу;
способствует быстрому заживлению ран после удаления и челюстных операций;
отбеливает зубы;
улучшает приживляемость имплантов.

В чём поможет профессиональная
гигиена полости рта?

жёлтые скопления на зубах, особенно в промежутках;
период перед установкой имплантов или удалением зубов;
неприятный запах изо рта;
зубной камень;
профилактика кровоточивости дёсен;
наличие зубного налёта;
лёгкое потемнение эмали.

Показания для профгигиены полости рта

Ультразвуковая чистка полости рта
Проводится аппаратом — скалер. Ультразвуковые волны скалера разрушают зубной камень даже под десной. Бесконтактный метод не повреждает эмаль. Не подходит для пациентов с зубными имплантами и протезами.

Air-flow
Проводится пескоструйным аппаратом — Air-flow. Обработка происходит специальным порошком под высоким напором. Метод подходит только для мягких зубных отложений.

Материалы и методы очистки

1. Оцениваем и осматриваем состояние зубов и полости рта.
2. Подбираем подходящий метод очистки.
3. Очищаем полость рта.
4. Полируем эмаль каждого зуба пастами и щётками.
5. Покрываем зубы составом, укрепляющим эмаль.

Этапы профгигиены

острое воспаление в полости рта;
эрозия эмали;
повышенная чувствительность зубов;
сахарный диабет;
аритмия (в анамнезе);
эпилепсия;
острые инфекционные заболевания;
бронхиальная астма (тяжелая форма);
затрудненное носовое дыхание.

Противопоказания

Цены на профессиональную очистку

Адмира Протект
Устраняет повышенную чувствительность и дополнительно защищает от внешних воздействий и стирания.
Detartrine (Детартрин)
Паста для удаления и профилактики возникновения мягкого зубного налета, зубного камня, а также полирования эмали.
Запишитесь на комплексную профгигиену всей полости рта!
Без повреждения эмали
Очистка от налета и мягкий отложений
Заполняя данную форму Вы соглашаетесь с политикой обработки персональных данных
Очистка от зубного камня
Комплексная ультразвуковая чистка + полировка пастой от 3500 вместо 5000 р. Или 4500 вместо 6000 при высокой степени зубного камня!
Богомазова Ольга Николаевна
Врач стоматолог-терапевт

Врачи-стоматологи

Мерзлякова Каролина Георгиевна
Врач стоматолог-терапевт
Стаж 25 лет
Стаж 24 года

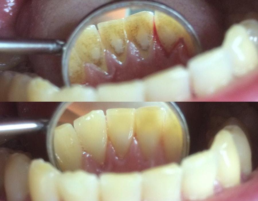
Фото до/после

Профчистка полости рта: фото до и после
Профгигиена полости рта: фото до и после
Профессиональная гигиена полости рта: фото до и после
Профессиональная чистка полости рта: фото до и после
Профессиональная гигиена полости рта: фото до и после